- Συνήθεις Αιτίες Άλγους Θωρακικής Μοίρας της Σπονδυλικής Στήλης: Αίτια, Διάγνωση και Αντιμετώπιση
- Σύνδρομο Λαγονοκνημιαίας Ταινίας (Iliotibial Band Syndrome)
- Οσφυαλγία: Μέθοδοι Πρόληψης, Επιστημονικές Προσεγγίσεις και Αποτελεσματικότητα
- Βελτιώνοντας την Υγεία των Αρθρώσεων
- Διασωστική Αρθροσκόπηση του Ώμου
- Συνήθεις Αιτίες Άλγους Θωρακικής Μοίρας της Σπονδυλικής Στήλης: Αίτια, Διάγνωση και Αντιμετώπιση
- Σύνδρομο Λαγονοκνημιαίας Ταινίας (Iliotibial Band Syndrome)
- Οσφυαλγία: Μέθοδοι Πρόληψης, Επιστημονικές Προσεγγίσεις και Αποτελεσματικότητα
- Βελτιώνοντας την Υγεία των Αρθρώσεων
- Διασωστική Αρθροσκόπηση του Ώμου
Αρθρίτιδα Ακρωμιοκλειδικής Άρθρωσης
Τι είναι
Είναι η εκφύλιση των αρθρικών επιφανειών της κλείδας και του ακρωμίου. Αυτή μπορεί να προκληθεί είτε λόγω χρόνιας καταπόνησης είτε ύστερα από ένα τραυματισμό ή εξάρθρημα αυτής. Ωστόσο, στη μεγάλη πλειοψηφία των περιπτώσεων δεν δύναται να εξακριβωθεί η ακριβής αιτία της νόσου. Η αρθρίτιδα της ακρωμιοκλειδικής έχει συχνά ως απόρροια την στένωση του υποκείμενου υπακρωμιακού χώρου και συνεπώς της την εμφάνιση του συνδρόμου υπακρωμιακής προστριβής
Συμπτώματα
Τα κυριότερα συμπτώματα είναι:
- Πόνος στην άνω επιφάνεια του ώμου. Ο πόνος αυτός μπορεί να αντανακλά μέχρι τον αυχένα και την πλάτη
- Παρουσία οιδήματος και ερυθρότητας στην περιοχή της ακρωμιοκλειδικής.
- Ο πόνος είναι έντονος και συνεχής, ενώ αρκετά συχνά ξυπνάει τον ασθενή κατά την διάρκεια της νύκτας, ειδικά εάν αυτός κοιμηθεί πάνω στον πάσχοντα ώμο.
- Ο ασθενής αισθάνεται αδυναμία να σηκώσει πλήρως το χέρι του.
- Υπάρχει ένα αίσθημα τριγμού με τις κινήσεις του ώμου.
Διάγνωση
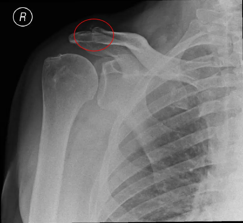
Ο ασθενής με αρθρίτιδα της ακρωμιοκλειδικής χρειάζεται εκτίμηση από εξειδικευμένο Ορθοπαιδικό Χειρουργό. Ο κ. Βλάχος αφού λάβει το ιστορικό σας και σας εξετάσει πολύ προσεκτικά, θα πραγματοποιήσει υπερηχογράφημα με σκοπό να ελέγξει την ακεραιότητα των τενόντων του στροφικού πετάλου. Επίσης θα χρειαστεί η λήψη μιας ακτινογραφίας ώστε να αποκλειστεί το ενδεχόμενο γενικευμένης οστεοαρθρίτιδας ή άλλων παθήσεων του ώμου. Σε συγκεκριμένες περιπτώσεις ο ιατρός θα χρειαστεί να σας παραπέμψει για μαγνητική τομογραφία του ώμου.
Συντηρητική Θεραπεία
Η αρχική θεραπεία της αρθρίτιδας της ακρωμιοκλειδικής είναι συντηρητική και περιλαμβάνει τα εξής:
- Ξεκούραση και τροποποίηση δραστηριοτήτων
- Παγοθεραπεία
- Λήψη μη στεροειδών αντιφλεγμονωδών φαρμάκων
- Φυσικοθεραπεία και πρόγραμμα ασκήσεων στο σπίτι. Οι ασκήσεις αποσκοπούν στην ελάττωση του πόνου και στην ανάκτηση του εύρους κίνησης, μέσω ενδυνάμωσης του δελτοειδούς μυός.
- Ένεση κορτιζόνης ή PRP (Platelet Rich Plasma - Πλάσμα πλούσιο σε αιμοπετάλια)
Το είδος της θεραπείας, συντηρητική ή χειρουργική, που θα ακολουθηθεί αποφασίζεται πάντα σε συνεργασία με τον ασθενή, καθώς και τον θεράποντα φυσικοθεραπευτή, με σκοπό την καλύτερη και ταχύτερη αποκατάστασή του ασθενούς.
Χειρουργική Θεραπεία
Η κύρια ένδειξη χειρουργικής αντιμετώπισης είναι η αποτυχία της συντηρητικής αγωγής. Η επέμβαση γίνεται αρθροσκοπικά μέσω δύο ή τριών μικρών οπών 4 χιλιοστών. Ο στόχος είναι αφενός η αφαίρεση των εκφυλισμένων αρθρικών επιφανειών και αφετέρου η αύξηση του μεγέθους της υπακρωμιακής περιοχής (ακρωμιοπλαστική), που θα οδηγήσει σε μειωμένη πρόσκρουση των μυών του στροφικού πετάλου, δίνοντας τους έτσι την δυνατότητα να επουλωθούν.
Όσον αφορά την αναισθησία, εφαρμόζεται γενική αναισθησία με συμπληρωματικό νευρικό αποκλεισμό (μπλοκ) ή τοπική αναλγησία. Ο ασθενής θα πάρει εξιτήριο μετά από λίγες ώρες από το χειρουργείο, εφόσον το επιθυμεί.
Η αρθροσκοπική αντιμετώπιση της αρθρίτιδας της ακρωμιοκλειδικής άρθρωσης είναι μία επέμβαση με εξαιρετικά χαμηλά ποσοστά επιπλοκών και άριστα λειτουργικά αποτελέσματα.
Αποκατάσταση
Μετά το πέρας της επέμβασης ο ασθενής θα φέρει το άνω άκρο του τοποθετημένο σε μια απλή ανάρτηση για λίγες ημέρες.
Προτού ο ασθενής λάβει εξιτήριο ο κ. Βλάχος θα συζητήσει μαζί του σχετικά με τα ευρήματα του χειρουργείου και θα του δοθούν Φυλλάδια με σαφείς και αναλυτικές μετεγχειρητικές οδηγίες.
Ο Ιατρός μαζί με τον θεράποντα Φυσικοθεραπευτή θα δημιουργήσουν ένα εξατομικευμένο πρόγραμμα αποκατάστασης με στόχο την ταχύτερη επάνοδο του ασθενούς στις καθημερινές του δραστηριότητες.
Καθ’ όλη την διάρκεια της αποκατάστασης ο κ. Βλάχος θα βρίσκεται σε άμεση επικοινωνία μαζί σας και ταυτόχρονα θα προγραμματίζονται επισκέψεις ανά τακτά χρονικά διαστήματα, ώστε να παρακολουθεί την βελτίωσή σας.
Σύνοψη
Η αρθρίτιδα της ακρωμιοκλειδικής άρθρωσης συνοδεύεται από έντονο πόνο και συχνά δυσκολία εκτέλεσης κινήσεων, γεγονός που επηρεάζει τόσο την καθημερινότητα όσο και την λειτουργικότητα του ασθενούς. Η επιλογή της κατάλληλης θεραπείας είναι κρίσιμη για την καλύτερη και ταχύτερη αποκατάσταση του ασθενούς. Γι’ αυτού τους λόγους, ο ασθενής πρέπει να συμβουλευτεί έναν εξειδικευμένο Ορθοπαιδικό Χειρούργο ώμου.