- Συνήθεις Αιτίες Άλγους Θωρακικής Μοίρας της Σπονδυλικής Στήλης: Αίτια, Διάγνωση και Αντιμετώπιση
- Σύνδρομο Λαγονοκνημιαίας Ταινίας (Iliotibial Band Syndrome)
- Οσφυαλγία: Μέθοδοι Πρόληψης, Επιστημονικές Προσεγγίσεις και Αποτελεσματικότητα
- Βελτιώνοντας την Υγεία των Αρθρώσεων
- Διασωστική Αρθροσκόπηση του Ώμου
- Συνήθεις Αιτίες Άλγους Θωρακικής Μοίρας της Σπονδυλικής Στήλης: Αίτια, Διάγνωση και Αντιμετώπιση
- Σύνδρομο Λαγονοκνημιαίας Ταινίας (Iliotibial Band Syndrome)
- Οσφυαλγία: Μέθοδοι Πρόληψης, Επιστημονικές Προσεγγίσεις και Αποτελεσματικότητα
- Βελτιώνοντας την Υγεία των Αρθρώσεων
- Διασωστική Αρθροσκόπηση του Ώμου
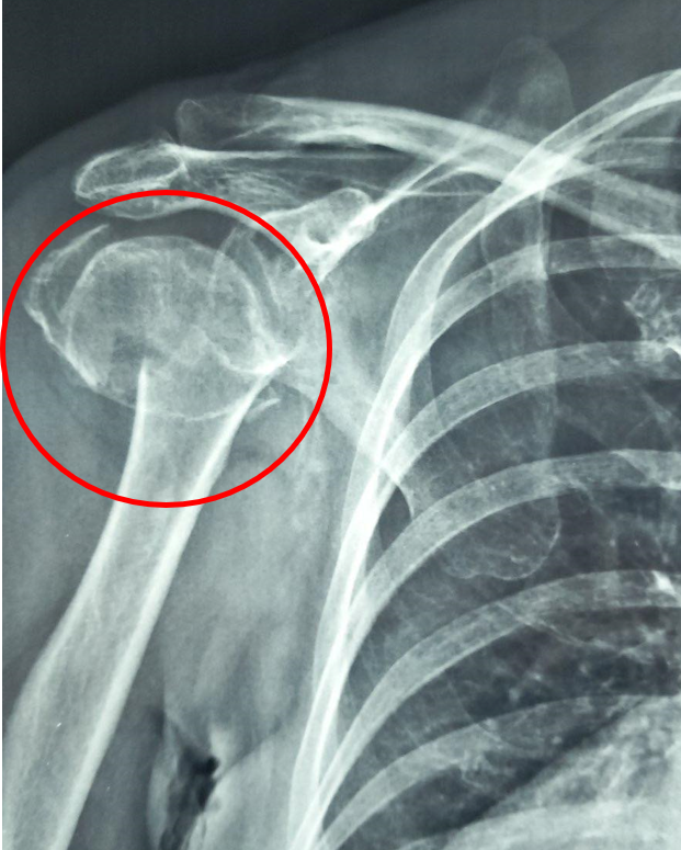
Κάταγμα Κεφαλής Βραχιονίου
Τι Είναι;
Το κάταγμα κεφαλής βραχιονίου αποτελεί μια μορφή κατάγματος που αφορά την περιοχή του ώμου και συγκεκριμένα το εγγύς τμήμα του βραχιονίου οστού. Τα κατάγματα της κεφαλής χρήζουν ιδιαίτερης προσοχής και μπορεί να είναι ιδιαίτερα απαιτητικά στην αντιμετώπισή τους. Αυτό οφείλεται στην περίπλοκη ανατομία της περιοχής που περιλαμβάνει μεταξύ
άλλων και τους μύες και τένοντες του στροφικού πετάλου, οι οποίοι είναι υπεύθυνοι για τις κινήσεις και την σταθερότητα του ώμου. Εφόσον το κάταγμα της κεφαλής του βραχιονίου δεν αντιμετωπιστεί σωστά μπορεί να επηρεαστεί η συνολική σταθερότητα και λειτουργικότητα της άρθρωσης του ώμου.
Aίτια
Όπως τα περισσότερα κατάγματα, ένα κάταγμα του εγγύς βραχιονίου μπορεί να προκληθεί συνεπεία ενός τραυματισμού, όπως μια πτώση. Ειδικότερα η συχνότητά τους αυξάνεται σε άτομα μεγαλύτερης ηλικίας που πάσχουν από οστεοπόρωση, λόγω της μειωμένης οστικής
πυκνότητας και της συνοδού αυξημένης ευθραυστότητας της κεφαλής του βραχιονίου.
Συμπτώματα
Οι ασθενείς μπορεί να εμφανίσουν διάφορα συμπτώματα ανάλογα με τη σοβαρότητα του κατάγματος. Στα πιο κοινά συμπτώματα περιλαμβάνονται ο έντονος πόνος, το οίδημα και η εκχύμωση της περιοχής, η παραμόρφωση και η περιορισμένη κινητικότητα του ώμου.
Παράλληλα, αρκετές νευραγγειακές δομές κινδυνεύουν να τραυματιστούν και ειδικότερα το μασχαλιαίο νεύρο. Όταν αυτό τραυματιστεί υπάρχει μούδιασμα και αδυναμία εκτέλεσης
συγκεκριμένων κινήσεων.
Διάγνωση
Ο ασθενής με κάταγμα κεφαλής του βραχιονίου χρειάζεται εκτίμηση από εξειδικευμένο Ορθοπαιδικό Χειρουργό. Ο κ. Βλάχος αφού σας εξετάσει προσεκτικά και λάβει το ιστορικό σας θα πραγματοποιήσει υπερηχογράφημα με σκοπό να ελέγξει την
ακεραιότητα των τενόντων του στροφικού πετάλου. Επίσης θα χρειαστεί η λήψη μιας ακτινογραφίας για την καλύτερη εκτίμηση του κατάγματος. Σε συγκεκριμένες περιπτώσεις ο ιατρός θα χρειαστεί να σας παραπέμψει για αξονική ή μαγνητική τομογραφία του ώμου.
Συντηρητική Θεραπεία
Η επιλογή της θεραπείας ενός κατάγματος κεφαλής βραχιονίου εξαρτάται από ποικίλους παράγοντες, όπως είναι ο τύπος και η παρεκτόπιση του κατάγματος, η ηλικία του ασθενούς, η συνολική υγεία και το επίπεδο δραστηριότητας αυτού. Τα κατάγματα που είναι σταθερά και με μικρή παρεκτόπιση, μπορούν δυνητικά να ακολουθήσουν την συντηρητική αντιμετώπιση με την
τοποθέτηση του άκρου σε έναν απλό φάκελο ανάρτησης για συνήθως διάστημα 6 εβδομάδων.
Χειρουργική Θεραπεία
Όταν τα κατάγματα είναι αρκετά ασταθή και παρεκτοπισμένα, κρίνεται συχνά αναγκαία η χειρουργική παρέμβαση για την αποκατάσταση τόσο αυτών όσο και της σταθερότητας της άρθρωσης. Η κατάλληλη χειρουργική αντιμετώπιση επιλέγεται έπειτα από την συνεκτίμηση παραγόντων όπως είναι η ποιότητα του οστού, ο προσανατολισμός του κατάγματος, αλλά και οι συνοδές κακώσεις των πέριξ μαλακών μορίων.
Η συνήθης χειρουργική επέμβαση εκλογής είναι η ανοιχτή ανάταξη και η εσωτερική οστεοσύνθεση με πλάκες και βίδες. Ωστόσο, εάν το κάταγμα είναι συντριπτικό και συνοδεύεται από εκτεταμένη βλάβη της άρθρωσης, έχει ένδειξη η ολική αρθροπλαστική ώμου.
Σύνοψη
Τα κατάγματα της κεφαλής του βραχιονίου χρειάζονται ιδιαίτερη προσοχή στην αντιμετώπισή τους, καθώς μπορεί να προκαλέσουν μόνιμο πόνο και διαταραχή της λειτουργικότητας του ασθενούς. Η επιλογή της κατάλληλης θεραπείας είναι κρίσιμη για την καλύτερη και ταχύτερη αποκατάσταση του ασθενούς. Γι’ αυτού τους λόγους, ο ασθενής πρέπει να συμβουλευτεί έναν εξειδικευμένο Ορθοπαιδικό Χειρουργό άνω άκρου.