- Συνήθεις Αιτίες Άλγους Θωρακικής Μοίρας της Σπονδυλικής Στήλης: Αίτια, Διάγνωση και Αντιμετώπιση
- Σύνδρομο Λαγονοκνημιαίας Ταινίας (Iliotibial Band Syndrome)
- Οσφυαλγία: Μέθοδοι Πρόληψης, Επιστημονικές Προσεγγίσεις και Αποτελεσματικότητα
- Βελτιώνοντας την Υγεία των Αρθρώσεων
- Διασωστική Αρθροσκόπηση του Ώμου
- Συνήθεις Αιτίες Άλγους Θωρακικής Μοίρας της Σπονδυλικής Στήλης: Αίτια, Διάγνωση και Αντιμετώπιση
- Σύνδρομο Λαγονοκνημιαίας Ταινίας (Iliotibial Band Syndrome)
- Οσφυαλγία: Μέθοδοι Πρόληψης, Επιστημονικές Προσεγγίσεις και Αποτελεσματικότητα
- Βελτιώνοντας την Υγεία των Αρθρώσεων
- Διασωστική Αρθροσκόπηση του Ώμου
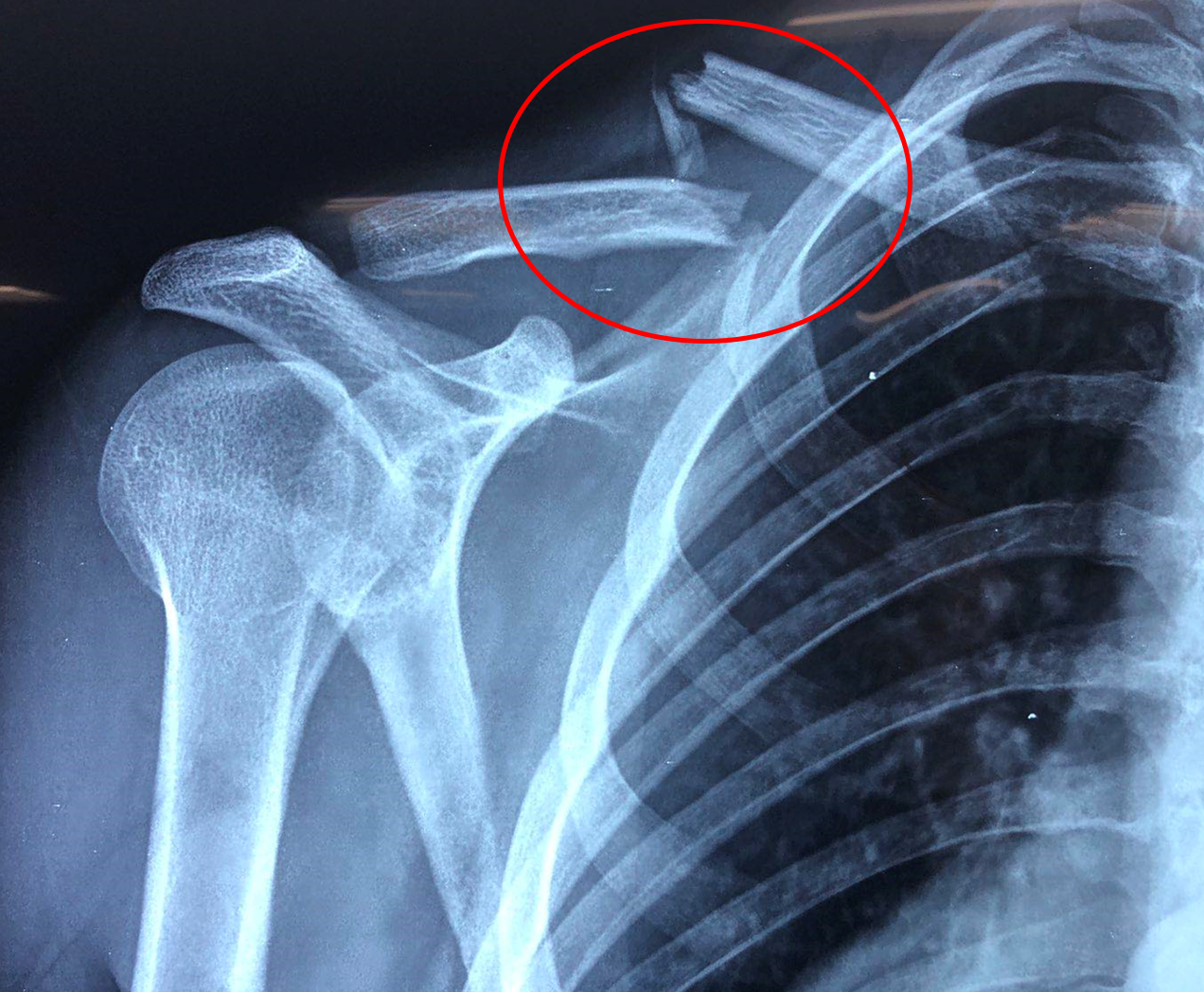
Κάταγμα Κλείδας
Τι Είναι;
Πρόκειται για ένα κάταγμα του οστού της κλείδας, η οποία συνδέει τον κορμό με το άνω άκρο. Το κάταγμα αυτό είναι αρκετά συχνό και προκαλείται συνήθως μετά από τραυματισμό, όπως για παράδειγμα μια πτώση ή ένα τροχαίο ατύχημα.
Συμπτώματα
Τα συχνότερα συμπτώματα είναι τα εξής:
- Εμφανή παραμόρφωση του ώμου
- Έντονος πόνος
- Αδυναμία εκτέλεσης κινήσεων του ώμου
- Αίσθημα κριγμού κατά τις κινήσεις του ώμου
- Οίδημα και εκχύμωση της περιοχής
Διάγνωση
Ο ασθενής με κάταγμα κλείδας χρειάζεται εκτίμηση από εξειδικευμένο Ορθοπαιδικό Χειρουργό. Ο κ. Βλάχος θα λάβει το ιστορικό σας και θα σας εξετάσει πολύ προσεκτικά. Επίσης θα χρειαστεί η λήψη μιας ακτινογραφίας και σε συγκεκριμένες περιπτώσεις ο ιατρός
θα σας παραπέμψει για αξονική τομογραφία.
Συντηρητική Θεραπεία
Η συντηρητική αντιμετώπιση ενδείκνυται σε κατάγματα με ελάχιστη
παρεκτόπιση και χωρίς συντριβή και περιλαμβάνει:
- Ακινητοποίηση του ώμου με έναν απλό φάκελο ανάρτησης
- Παυσίπονα
- Παγοθεραπεία
Σε ένα μικρό ποσοστό τα κατάγματα που θα αντιμετωπιστούν συντηρητικά μπορεί είτε να μην πορωθούν πλήρως και να οδηγήσουν σε ψευδάρθρωση, είτε να πορωθούν σε πλημμελή θέση και να οδηγήσουν σε μείωση του μήκους της κλείδας και επακόλουθη
δυσλειτουργία του άνω άκρου.
Χειρουργική Θεραπεία
Η χειρουργική αντιμετώπιση ενδείκνυται είτε σε κατάγματα με μεγάλη παρεκτόπιση και συντριβή, είτε επί αποτυχίας της συντηρητικής θεραπείας. Επίσης η χειρουργική αντιμετώπιση κρίνεται αναγκαία για κατάγματα στα οποία το δέρμα κινδυνεύει από την πίεση των οστικών τεμαχίων του κατάγματος. Περιλαμβάνει την ανατομική ανάταξη του καταγματικών τεμαχίων και την οστεοσύνθεσή τους. Πραγματοποιείται υπό γενική αναισθησία και ο ασθενής παίρνει εξιτήριο μετά από κάποιες ώρες ή την επόμενη ημέρα. Ο ασθενής θα φοράει μια ανάρτηση για 4 εβδομάδες, ωστόσο ενθαρρύνεται να κάνει κινήσεις του αγκώνα και του χεριού άμεσα μετεγχειρητικά. Σε συνεργασία με τον θεράποντα φυσικοθεραπευτή δημιουργείται ένα εξατομικευμένο πρόγραμμα με στόχο την ταχύτερη αποκατάσταση του ασθενούς.
Σύνοψη
Το κάταγμα της κλείδας συνοδεύεται από έντονο πόνο και παραμόρφωση, γεγονός που επηρεάζει τόσο την καθημερινότητα όσο και την λειτουργικότητα του ασθενούς. Η επιλογή της κατάλληλης θεραπείας είναι κρίσιμη για την καλύτερη και ταχύτερη αποκατάσταση του ασθενούς. Γι’ αυτού τους λόγους, ο ασθενής πρέπει να συμβουλευτεί έναν εξειδικευμένο Ορθοπαιδικό Χειρουργό άνω άκρου.