- Συνήθεις Αιτίες Άλγους Θωρακικής Μοίρας της Σπονδυλικής Στήλης: Αίτια, Διάγνωση και Αντιμετώπιση
- Σύνδρομο Λαγονοκνημιαίας Ταινίας (Iliotibial Band Syndrome)
- Οσφυαλγία: Μέθοδοι Πρόληψης, Επιστημονικές Προσεγγίσεις και Αποτελεσματικότητα
- Βελτιώνοντας την Υγεία των Αρθρώσεων
- Διασωστική Αρθροσκόπηση του Ώμου
- Συνήθεις Αιτίες Άλγους Θωρακικής Μοίρας της Σπονδυλικής Στήλης: Αίτια, Διάγνωση και Αντιμετώπιση
- Σύνδρομο Λαγονοκνημιαίας Ταινίας (Iliotibial Band Syndrome)
- Οσφυαλγία: Μέθοδοι Πρόληψης, Επιστημονικές Προσεγγίσεις και Αποτελεσματικότητα
- Βελτιώνοντας την Υγεία των Αρθρώσεων
- Διασωστική Αρθροσκόπηση του Ώμου
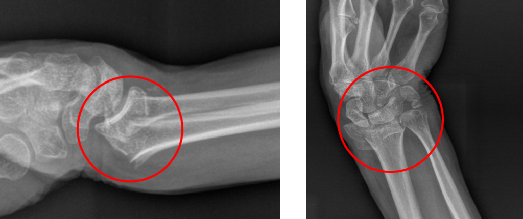
Κατάγματα Πηχεοκαρπικής
Τι Είναι;
Τα κατάγματα αυτά αντιπροσωπεύουν ένα πολύ μεγάλο ποσοστό των
συνολικών καταγμάτων του ανθρωπίνου σώματος και ταυτόχρονα την
πιο συχνή μορφή κατάγματος στην περιοχή του καρπού.
Προκαλούνται σε όλες της ηλικίες και κυρίως σε γυναίκες.
Ταξινόμηση
Τα κατάγματα πηχεοκαρπικής ταξινομούνται σε 4 κύριες ομάδες:
- Τα εξωαρθρικά κατάγματα, όπου η καταγματική γραμμή εκτείνεται εκτός της πηχεοκαρπικής άρθρωσης.
- Τα ενδοαρθρικά κατάγματα , όπου η καταγματική γραμμή εκτείνεται εντός της πηχεοκαρπικής άρθρωσης (κάταγμα Barton).
- Τα συντριπτικά κατάγματα όπου χαρακτηρίζονται από πολλαπλά οστικά τεμάχια.
- Τα ανοικτά κατάγματα στα οποία το καταγματικό οστό σκίζει το δέρμα και προβάλλει εκτός αυτού, γεγονός που καθιστά αναγκαία την άμεση αντιμετώπισή τους.
Τα εξωαρθρικά κατάγματα αποτελούν τον πιο συχνό τύπο και ταξινομούνται ανάλογα με την παρεκτόπιση του κατάγματος σε ραχιαία (κάταγμα Colles) ή παλαμιαία
Αίτια
Ο συχνότερος τρόπος πρόκλησης ενός κατάγματος πηχεοκαρπικής είναι η πτώση πάνω σε τεντωμένο χέρι. Σημαντικό ρόλο παίζει η οστεοπόρωση καθώς λόγω της αυξημένης
ευθραυστότητας των οστών μπορεί να οδηγήσει στην πρόκληση ενός κατάγματος πηχεοκαρπικής ακόμα και με τραυματισμό χαμηλής βίας.
Συμπτώματα
Τα συχνότερα συμπτώματα είναι τα εξής:
- Έντονος πόνος και ευαισθησία στην περιοχή του καρπού
- Οίδημα και εκχύμωση γύρω από τον καρπό
- Παραμόρφωση του καρπού
- Αίσθημα μουδιάσματος των δακτύλων
Διάγνωση
Η διάγνωση γίνεται με απλές ακτινογραφίες στην περιοχή της πηχεοκαρπικής ενώ σε συγκεκριμένες περιπτώσεις μπορεί να χρειαστεί και αξονική τομογραφία με στόχο τον καλύτερο σχεδιασμό μιας πιθανής χειρουργικής επέμβασης.
Θεραπευτικές επιλογές
Η επιλογή του είδους θεραπείας που θα ακολουθηθεί εξαρτάται από τους εξής παράγοντες:
- Τα χαρακτηριστικά του κατάγματος
- Την ηλικία του ασθενούς
- Τις λειτουργικές απαιτήσεις του ασθενούς
- Τους συνοδούς τραυματισμούς
Συντηρητική θεραπεία
Η συντηρητική αντιμετώπιση περιλαμβάνει ακινητοποίηση του καρπού με κυκλοτερή γύψο ή νάρθηκα για 4-6 εβδομάδες και ενδείκνυται κυρίως για σταθερά και εξωαρθρικά κατάγματα. Αρκετά συχνά απαιτείται ,πριν την τοποθέτηση του γύψου, η κλειστή ανάταξη των παρεκτοπισμένων οστικών τεμαχίων με τοπική αναισθησία.
Χειρουργική θεραπεία
Η χειρουργική αντιμετώπιση ενδείκνυται κυρίως σε ασταθή, ενδοαρθρικά και συντριπτικά κατάγματα. Η επέμβαση πραγματοποιείται με περιοχική αναισθησία (μπλοκ) και περιλαμβάνει
την ανατομική ανάταξη και οστεοσύνθεση των καταγματικών τεμαχίων. Μετά το χειρουργείο ο καρπός του ασθενούς τοποθετείται σε νάρθηκα για 2-4 βδομάδες και στην συνέχεια ο ασθενής ακολουθεί ένα εξατομικευμένο πρόγραμμα φυσικοθεραπείας.
Σύνοψη
Τα κατάγματα της πηχεοκαρπικής αποτελούν τον πιο συνήθη τύπο κατάγματος ανεξαρτήτως ηλικίας. Η σωστή επιλογή θεραπείας είναι απαραίτητη ώστε ο ασθενής να επιστρέψει πλήρως λειτουργικός το συντομότερο δυνατόν στην καθημερινότητα του. Γι’ αυτού τους λόγους, ο ασθενής πρέπει να συμβουλευτεί έναν εξειδικευμένο Ορθοπαιδικό Χειρουργό άνω άκρου.