- Συνήθεις Αιτίες Άλγους Θωρακικής Μοίρας της Σπονδυλικής Στήλης: Αίτια, Διάγνωση και Αντιμετώπιση
- Σύνδρομο Λαγονοκνημιαίας Ταινίας (Iliotibial Band Syndrome)
- Οσφυαλγία: Μέθοδοι Πρόληψης, Επιστημονικές Προσεγγίσεις και Αποτελεσματικότητα
- Βελτιώνοντας την Υγεία των Αρθρώσεων
- Διασωστική Αρθροσκόπηση του Ώμου
- Συνήθεις Αιτίες Άλγους Θωρακικής Μοίρας της Σπονδυλικής Στήλης: Αίτια, Διάγνωση και Αντιμετώπιση
- Σύνδρομο Λαγονοκνημιαίας Ταινίας (Iliotibial Band Syndrome)
- Οσφυαλγία: Μέθοδοι Πρόληψης, Επιστημονικές Προσεγγίσεις και Αποτελεσματικότητα
- Βελτιώνοντας την Υγεία των Αρθρώσεων
- Διασωστική Αρθροσκόπηση του Ώμου
Ρήξη Τένοντα Ώμου
Ρήξη Τένοντα Ώμου
Το στροφικό πέταλο του ώμου σχηματίζεται από την συνένωση τεσσάρων τενόντων του υπερακάνθιου, του υπακάνθιου, του υποπλάτιου και του ελάσσονα στρογγύλου. Από αυτούς εξαρτάται σε μεγάλο βαθμό η ομαλή κίνηση και λειτουργία του ώμου. Ο τραυματισμός ή ρήξη των τενόντων αυτών αποτελεί μια από τις πιο συχνές αιτίες πόνου στον ώμο. Ο τένοντας που υφίσταται συχνότερα ρήξη είναι ο υπερακάνθιος.
Τι σημαίνει ρήξη του στροφικού πετάλου;
Ως ρήξη του στροφικού πετάλου του ώμου ορίζεται η ρήξη ενός ή περισσότερων εκ των παραπάνω τενόντων. Η ρήξη αυτή μπορεί να είναι το αποτέλεσμα είτε ενός οξέος τραυματισμού είτε πολλαπλών μικροτραυματισμών και μακροχρόνιας εκφύλισης, γεγονός στο οποίο συμβάλλει και το σύνδρομο υπακρωμιακής προστριβής. Τέλος μια χρόνια τενοντίτιδα μπορεί να καταπονήσει τον τένοντα, ο οποίος τελικά παθαίνει ρήξη.
Τύποι
Ανάλογα με το μέγεθός τους οι ρήξεις ταξινομούνται σε:
- Μερικού πάχους
- Ολικού πάχους
- Μαζικές εκτεταμένες ρήξεις
Το μέγεθος της ρήξης είναι αυτό που θα καθορίσει και την θεραπεία της.
Συμπτώματα
Ο ασθενής μπορεί να εμφανίσει τα παρακάτω συμπτώματα:
- Πόνος στην πρόσθια και έξω επιφάνεια του ώμου. Ο πόνος αυτός μπορεί να αντανακλά τόσο μέχρι τον αυχένα και την πλάτη όσο και μέχρι τον αγκώνα.
- Ο πόνος είναι έντονος και συνεχής, ενώ αρκετά συχνά ξυπνάει τον ασθενή κατά την διάρκεια της νύκτας, ειδικά εάν αυτός κοιμηθεί πάνω στον πάσχοντα ώμο.
- Ο ασθενής αισθάνεται αδυναμία να σηκώσει πλήρως το χέρι του.
- Υπάρχει ένα αίσθημα τριγμού με τις κινήσεις του ώμου.
Ποσοστά Εμφάνισης
Ρήξεις του στροφικού πετάλου παρουσιάζονται αρκετά συχνά, με ποσοστό πάνω από 25% στην ηλικία των 50 ετών και πάνω από 50% σε ηλικία των 70. Στους άνδρες εμφανίζεται συχνότερα από τις γυναίκες και συχνότερα στο επικρατές άνω άκρο.
Διάγνωση
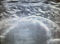
Ο ασθενής με ρήξη του στροφικού πετάλου του ώμου χρειάζεται εκτίμηση από εξειδικευμένο Ορθοπαιδικό Χειρουργό. Ο κ. Βλάχος αφού λάβει το ιστορικό σας και σας εξετάσει πολύ προσεκτικά, θα πραγματοποιήσει υπερηχογράφημα με σκοπό να ελέγξει την ακεραιότητα των τενόντων του στροφικού πετάλου. Επίσης θα χρειαστεί η λήψη μιας ακτινογραφίας ώστε να αποκλειστεί το ενδεχόμενο οστεοαρθρίτιδας ή άλλων παθήσεων του ώμου. Σε συγκεκριμένες περιπτώσεις ο ιατρός θα χρειαστεί να σας παραπέμψει για μαγνητική τομογραφία του ώμου με σκοπό την αξιολόγηση της θέσης και του μεγέθους της ρήξης, καθώς και τυχόν ατροφίας των μυών.
Συντηητική Θεραπεία
Η κύρια ένδειξη της συντηρητικής αγωγής είναι οι μικρές και χρόνιες ρήξεις. Αυτή περιλαμβάνει τα παρακάτω:
- Ξεκούραση και τροποποίηση δραστηριοτήτων
- Παγοθεραπεία
- Λήψη μη στεροειδών αντιφλεγμονωδών φαρμάκων
- Φυσικοθεραπεία και πρόγραμμα ασκήσεων στο σπίτι. Οι ασκήσεις αποσκοπούν στην ελάττωση του πόνου και στην ανάκτηση του εύρους κίνησης, μέσω ενδυνάμωσης του δελτοειδούς μυός.
- Ένεση κορτιζόνης ή PRP (Platelet Rich Plasma - Πλάσμα πλούσιο σε αιμοπετάλια)
Το είδος της θεραπείας, συντηρητική ή χειρουργική, που θα ακολουθηθεί αποφασίζεται πάντα σε συνεργασία με τον ασθενή, καθώς και τον θεράποντα φυσικοθεραπευτή, με σκοπό την καλύτερη και ταχύτερη αποκατάστασή του ασθενούς.
Χειρουργική Θεραπεία
Οι κυριότερες ενδείξεις χειρουργικής θεραπείας είναι οι εξής:
- Οξεία ρήξη του στροφικού πετάλου
- Αποτυχία της συντηρητικής αγωγής
- Μεγάλες ή μαζικές ρήξεις τους τροφικού πετάλου
Η συρραφή των τενόντων του στροφικού πετάλου πραγματοποιείται αρθροσκοπικά υπό γενική αναισθησία και νευρικό αποκλεισμό (μπλοκ). Μετά το χειρουργείο ο ασθενής θα παραμείνει στο νοσοκομείο για λίγες ώρες έως ένα βράδυ, εφόσον το επιθυμεί. Πριν το εξιτήριο θα σας δοθούν σαφείς οδηγίες για τις ασκήσεις που θα πρέπει να κάνετε, καθώς και περεταίρω συμβουλές για να σας καθοδηγήσουν στην ανάρρωσή σας. Η επέμβαση πραγματοποιείται μέσω 3-5 μικρών οπών 5 χιλιοστών, ωστόσο σε ελάχιστες και πολύ σοβαρές περιπτώσεις μπορεί να χρειαστεί μια ελαφρώς μεγαλύτερη τομή. Οι τένοντες που έχουν υποστεί την ρήξη επανακαθηλώνονται πίσω στην κεφαλή του βραχιονίου μέσω μιας μικροσκοπικής άγκυρας με ράμματα. Οι άγκυρες που χρησιμοποιούμε μπορεί να είναι απορροφήσιμες από τον οργανισμό (βίο-απορροφήσιμες) ή μη (μεταλλικές). Μετά το χειρουργείο το χέρι του ασθενούς θα τοποθετηθεί σε έναν νάρθηκα με σκοπό να επιτραπεί η επούλωση. Στις περιπτώσεις που η ρήξη των τενόντων είναι αρκετά μεγάλη ώστε να επισκευαστεί, κατόπιν προ-εγχειρητικής συζήτησης με τον ασθενή, πραγματοποιείται είτε μερική αποκατάσταση αυτής είτε απλός αρθροσκοπικός καθαρισμός του ώμου με σκοπό την ανακούφιση του πόνου.
Αποκατάσταση
Μετά το χειρουργείο το χέρι του ασθενούς θα τοποθετηθεί σε έναν νάρθηκα. Αυτός θα πρόκειται είτε για έναν απλό φάκελο ανάρτησης είτε για ένα νάρθηκα απαγωγής του ώμου με μαξιλάρι. Η επιλογή του τύπου νάρθηκα που θα χρησιμοποιηθεί καθώς και η διάρκεια εφαρμογής αυτού θα εξαρτηθεί από την σοβαρότητα του χειρουργείο και την πρόοδο της αποκατάστασής σας. Ο συνήθης χρόνος εφαρμογής του νάρθηκα είναι 6 εβδομάδες. Ανάλογα με το μέγεθος της ρήξης, θα ξεκινήσετε τη φυσιοθεραπεία άμεσα, στις 3 εβδομάδες ή μόνο μετά από 6 εβδομάδες μετεγχειρητικά.
Προτού ο ασθενής λάβει εξιτήριο ο κ. Βλάχος θα συζητήσει μαζί του σχετικά με τα ευρήματα του χειρουργείου και θα του δοθούν Φυλλάδια με σαφείς και αναλυτικές μετεγχειρητικές οδηγίες.
Ο Ιατρός μαζί με τον θεράποντα Φυσικοθεραπευτή θα δημιουργήσουν ένα εξατομικευμένο πρόγραμμα αποκατάστασης με στόχο την ταχύτερη επάνοδο του ασθενούς στις καθημερινές του δραστηριότητες.
Καθ’ όλη την διάρκεια της αποκατάστασης ο κ. Βλάχος θα βρίσκεται σε άμεση επικοινωνία μαζί σας και ταυτόχρονα θα προγραμματίζονται επισκέψεις ανά τακτά χρονικά διαστήματα, ώστε να παρακολουθεί την βελτίωσή σας.
Σύνοψη
Η ρήξη των τενόντων του στροφικού πετάλου του ώμου συνοδεύεται από έντονο πόνο και συχνά αδυναμία εκτέλεσης κινήσεων, γεγονός που επηρεάζει τόσο την καθημερινότητα όσο και την λειτουργικότητα του ασθενούς. Η επιλογή της κατάλληλης θεραπείας είναι κρίσιμη για την καλύτερη και ταχύτερη αποκατάσταση του ασθενούς. Γι’ αυτού τους λόγους, ο ασθενής πρέπει να συμβουλευτεί έναν εξειδικευμένο Ορθοπαιδικό Χειρουργό ώμου.